Risonanza Magnetica
 

 

Diagnosi ad alta precisione per la salute del tuo animale  
 

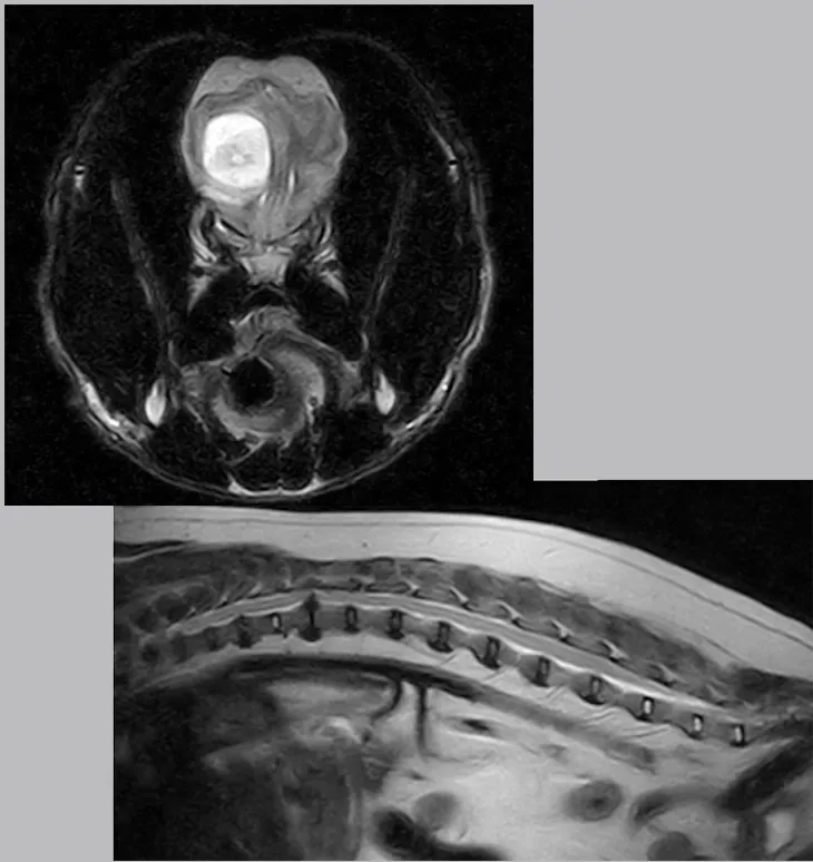
La risonanza magnetica (RMN) è la tecnica diagnostica più avanzata per lo studio del sistema nervoso centrale e di molte altre strutture interne.
Alla Clinica Veterinaria Sant’Antonio rappresenta un punto di forza nella diagnosi precoce e nella pianificazione terapeutica di patologie neurologiche e ortopediche.

Perchè, è così importante una RM?

A differenza della TAC, la risonanza magnetica non utilizza radiazioni ionizzanti: è sicura, precisa e non invasiva.
Permette di individuare con straordinaria sensibilità lesioni dell’encefalo e del midollo spinale, come:

  • Encefaliti e meningiti
  • Emorragie o ischemie cerebrali
  • Tumori del sistema nervoso
  • Ernie del disco e patologie traumatiche
  • Malformazioni congenite (come l’idrocefalo)

Negli ultimi anni, l’impiego si è esteso anche alla diagnosi di patologie articolari, muscolari e tendinee, ampliando le possibilità terapeutiche e riabilitative.


 

Richiedi un consulto e

Chiama 

Responsabili di reparto

  • Dott.ssa Emanuela Mobilia
  • Dott.ssa Silvia Bortolotti
  • Dott. Stefano Losio
Dott.ssa Emanuela Mobilia
Dott.ssa Silvia Bortolotti
Dott. Stefano Losio
Dott.ssa Emanuela Mobilia

Pronto soccorso, degenza e terapia intensiva
Diagnostica per immagini

Laureata in Medicina Veterinaria presso l’Università degli studi di Messina nel 2017.
Dopo un periodo formativo rotazionale presso la CVSA e l’Ospedale Veterinario I Portoni Rossi, dal 2019 collabora con la CVSA e si occupa principalmente di medicina generale e diagnostica per immagini.In continua formazione nel campo della diagnostica per immagini, dal 2021 si occupa di diagnostica per immagini avanzata (risonanza magnetica) presso la CVSA.

Da marzo 2025 inizia il master in Diagnostica per Immagini dei Piccoli Animali presso l'università degli Studi di Teramo.

Scopri di più
Dott.ssa Silvia Bortolotti

Laureata con lode in Medicina Veterinaria presso l’Università di Parma, è una professionista specializzata in diagnostica per immagini e neurologia veterinaria.
Collabora con la Clinica Veterinaria Sant’Antonio di Salò e con la Clinica Benaco Blu, dove si occupa di risonanze magnetiche, tomografie, ecografie e visite neurologiche.
Ha conseguito la certificazione internazionale GPCert in Diagnostic Imaging (ISVPS – Improve Veterinary Education, UK) e partecipa costantemente a corsi di aggiornamento in risonanza magnetica, ecografia specialistica e neurodiagnostica.
Membro delle società veterinarie SCIVAC, SVIDI, SINVET e SIMEF, unisce rigore scientifico e sensibilità clinica, offrendo ai pazienti cure accurate e di alto livello in un contesto tecnologicamente avanzato e umano.

Scopri di più
Dott. Stefano Losio

Si laurea in Medicina Veterinaria all’Università degli Studi di Milano nel 2017 (voto 106/110) con una tesi su TC e scintigrafia in cani con sospetta neoplasia tiroidea

Dopo un tirocinio presso la Clinica Veterinaria Sant’Antonio di Salò, inizia a lavorare all’Ospedale Veterinario Città di Bergamo, occupandosi principalmente di diagnostica per immagini avanzata (TC, RM).

Approfondisce la formazione nei reparti di Diagnostica per Immagini dell’Istituto Veterinario di Novara e dell’Università di Uppsala e segue corsi SCIVAC di neurodiagnostica RM e Advanced CT. Dal 2021 è iscritto alla Società Italiana di

Neurologia Veterinaria e dal 2022 collabora con la Clinica Veterinaria Sant’Antonio di Salò e con NORAD di Gallarate nel reparto di risonanza magnetica.

Dal 2023 segue il percorso GPCert in Neurologia SCIVAC.

Scopri di più
Apri opzioni di accessibilità